頭蓋骨内の硬膜と脳の間に血腫(血だまり)ができ、
脳を圧迫する症状
のこと。
硬膜とは、脳を包んでいる強度の高い膜のことで、頭蓋骨のすぐ内側にあり、くも膜の外側にある。

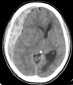
画像引用元:社会福祉法人 恩賜財団 済生会 急性硬膜下血腫
急性硬膜下血腫では、硬膜の内側で出血を起こして血だまり(血腫)ができ、血腫が脳を圧迫して様々な障害を引き起こす。
短時間で進行し、命に関わることもあるため、早期発見・治療が重要である。
2024年3月1日に漫画家の鳥山 明(とりやま あきら)氏(68歳没)が他界され、同年3月8日、その死因が急性硬膜下血腫によるものと報道された。
偉大な天才の訃報に驚いたファンが、耳慣れない死因の「急性硬膜下血腫」を検索し、大手検索エンジンで「急性硬膜下血腫」の検索ボリュームが一時的に大きく上昇したことがあった。
■急性硬膜下血腫の発症の原因
急性硬膜下血腫の発症原因は以下のとおり。
頭部外傷:転倒、交通事故、スポーツ中の事故など。
頭部への物理的ダメージによる頭部外傷が最も一般的な原因である。
脳血管障害:高血圧、脳動脈瘤、脳静脈瘤などの脳血管障害が原因で出血する場合がある。
血液疾患 :白血病、血友病などの血液疾患が原因で出血しやすくなっているレアケース。
薬物:抗凝固薬や抗血小板薬の服用も、出血のリスクを高める可能性がある。
その他:加齢、アルコール依存症、認知症なども発症リスクの要因となりえる。
■急性硬膜下血腫の症状
急性硬膜下血腫の症状は以下のとおり。
- 頭痛:最も一般的な症状である。
- 意識障害:軽度から重度まで様々である。
- 嘔吐:頭痛に伴うことが多いである。
- 麻痺:片側または両側の体の麻痺が起こります。
- 言語障害:言葉が話せなくなったり、理解できなくなったりします。
- けいれん:発作が起こることがある。
- その他の症状:瞳孔不同、歩行障害、失語症など
脳梗塞の症状に似ており、脳に異常が起こっている証拠である。
とにかく、上記の症状が出た場合は、すぐに病院を受診するべきである。
■急性硬膜下血腫の発症率(発生頻度)
急性硬膜下血腫の発症率は約17%※。
(※1970年~1995年の25年間の統計。頭部外傷525症例中の割合。ソースはこちら)
60歳以上の高齢者に多く、男性の方が女性よりも発生率が高い傾向にある。
■診断方法
頭部CT:最も重要な検査であり、血腫の場所、大きさ、形状などを確認する。
MRI:頭部CTよりも詳細な画像が得るために行う。
脳血管撮影:出血源を特定するために必要な場合がある。
■急性硬膜下血腫の治療
手術:血腫を摘出する手術が必要である。
開頭手術と脳室穿刺ドレナージ術の2種類がある。
手術後は、脳浮腫の発症対策としてグリセリンの投与を行う。
・脳挫傷を伴っている症例の場合
脳挫傷を伴う症例では、血腫除去の他にステロイドの脳圧下降剤を投与、時として挫傷脳の切除や減圧開頭術の併用も行われる。手術適応の有無は、症例ごとの状態や血腫の大きさ、脳挫傷の程度により決定される。
Wikipedia 急性硬膜下血腫 より引用
保存療法:血腫量が少なく、症状が軽度の場合には、手術せずに経過観察を行うこともある。
薬物療法:脳圧を下げる薬や止血薬などを投与する。
■急性硬膜下血腫の予後に関して
予後は、血腫の大きさ、場所、患者さんの年齢や基礎疾患などによって異なるが、一般的には重症例が多く、死亡率も高くなる。
特に、血腫量が多いほど予後は悪くなる傾向にある。
■急性硬膜下血腫の予防方法
転倒予防:高齢者や転倒のリスクが高い人は、転倒予防対策が必要である。
脳血管障害の予防:高血圧、糖尿病、脂質異常症などの生活習慣病を管理することで、脳血管障害のリスクを減らすことができる。
安全運転:交通事故を防ぐために、安全運転を心がける。
特に二輪車を運転する場合はヘルメットを着用することで、事故時の頭部への物理的外傷を防げる。
■関連項目
鳥山明
■参考サイト様
急性硬膜下血腫 | 脳神経外科領域の主な疾患 | 済生会

急性硬膜下血腫 | 神経外傷・スポーツ頭部外傷 – 東京慈恵会医科大学附属病院 脳神経外科
急性硬膜下血腫 | 福岡の脳神経外科

急性硬膜下血腫 | 神経外傷・スポーツ頭部外傷 – 東京慈恵会医科大学附属病院 脳神経外科
急性硬膜下血種|疾患ガイド – 原三信病院

急性硬膜下血腫 – 慶應義塾大学脳神経外科

Wikipedia 急性硬膜下血腫


